Aller au contenu principal

Que faire en cas de choc à la tête en tant que personne âgée ?

Santé
hematome sous dural
Santé
Publié le
Partager

En France, 2 millions de chutes surviennent chaque année chez les plus de 65 ans, représentant un enjeu majeur de santé publique. Parmi les conséquences possibles, les chocs à la tête constituent l'une des complications les plus préoccupantes chez les seniors. Avec l'âge, la fragilité osseuse, la diminution des réflexes et les troubles de l'équilibre accroissent considérablement les risques de traumatismes crâniens. Savoir réagir rapidement et adopter les bons gestes après un choc à la tête peut faire la différence entre une récupération complète et des complications durables. Cette préparation devient d'autant plus cruciale que les symptômes ne sont pas toujours immédiats et peuvent survenir plusieurs heures après l'incident.

Quels sont les symptômes d'alerte après un choc à la tête chez une personne âgée ?

Reconnaître les signes d'alarme après un traumatisme crânien constitue la première étape essentielle de la prise en charge. Chez les personnes âgées, ces symptômes peuvent être particulièrement trompeurs et évoluer de manière insidieuse.

Les troubles neurologiques représentent les premiers signaux d'alerte à surveiller attentivement. Une confusion inhabituelle ou une désorientation après le choc doit immédiatement éveiller l'attention. La personne peut sembler "ailleurs", avoir du mal à répondre aux questions simples ou présenter des difficultés à se souvenir de l'incident. Ces troubles cognitifs légers de l’attention et de la mémoire peuvent signaler une commotion cérébrale ou un traumatisme crânien plus sévère.

Les symptômes digestifs et vestibulaires constituent également des indicateurs cruciaux. Des nausées persistantes ou des vomissements qui surviennent dans les heures suivant le choc peuvent révéler une augmentation de la pression intracrânienne. Cette situation nécessite une prise en charge médicale urgente. De même, les vertiges ou la perte d'équilibre qui persistent au-delà des premiers instants doivent alerter sur une possible atteinte cérébrale.

D'autres signes nécessitent une surveillance particulièrement attentive. Une fatigue inhabituelle et persistante, surtout si elle s'accompagne de somnolence, peut indiquer des complications neurologiques. Les troubles visuels comme la vision double, le flou visuel ou la sensibilité à la lumière constituent des symptômes préoccupants. Enfin, tout écoulement de liquide clair ou de sang par le nez ou les oreilles représente une urgence absolue, pouvant signaler une fracture du crâne ou une lésion cérébrale grave.

Quels gestes adopter immédiatement après un traumatisme crânien ?

La réaction immédiate après un choc à la tête détermine souvent l'évolution du traumatisme. Les premiers gestes doivent être mesurés et méthodiques pour éviter d'aggraver la situation.

Le premier réflexe consiste à appliquer du froid sur la zone touchée. Si la personne est consciente et capable de communiquer, placez immédiatement une compresse froide ou un sac de glace enveloppé dans un linge sur la zone d'impact. Cette application, maintenue pendant 10 à 15 minutes, permet de limiter l'inflammation, de réduire la formation d'hématomes et de soulager la douleur. Attention à ne jamais appliquer la glace directement sur la peau pour éviter les gelures.

L'évaluation de l'état de conscience représente l'étape suivante cruciale. Parlez calmement à la personne, posez-lui des questions simples sur son identité, la date ou le lieu où elle se trouve. Observez sa capacité à répondre de manière cohérente. Si elle présente des signes de confusion, de désorientation spatio-temporelle ou ne répond pas normalement, ces éléments doivent être immédiatement signalés aux secours.

La position de la personne nécessite une attention particulière. Si elle peut s'asseoir sans difficulté et ne présente aucun signe de traumatisme cervical, aidez-la à s'installer confortablement. En revanche, en cas de suspicion de lésion du cou ou de perte de connaissance, ne tentez pas de la déplacer. Maintenez sa tête dans l'axe du corps et attendez l'arrivée des secours professionnels.

Pourquoi surveiller une personne âgée pendant 24 heures après le choc ?

La surveillance post-traumatique de 24 heures constitue une mesure de sécurité fondamentale, même en l'absence de symptômes immédiats. Cette période d'observation permet de détecter les complications qui peuvent survenir avec retard.

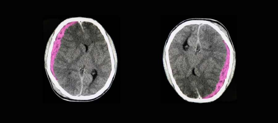
Les lésions cérébrales évoluent de manière progressive. Contrairement aux blessures externes immédiatement visibles, les traumatismes internes peuvent mettre plusieurs heures à se manifester. Un hématome sous-dural, par exemple, peut se développer lentement et ne provoquer des symptômes qu'après 6 à 12 heures. Cette évolution insidieuse explique pourquoi une personne peut sembler aller bien immédiatement après le choc, puis présenter des complications sérieuses dans les heures qui suivent.

Pendant cette période de surveillance, certains comportements sont à proscrire absolument. Il est déconseillé de laisser la personne s'endormir profondément durant les premières heures, car cela rendrait difficile l'évaluation de son état de conscience. Si le sommeil devient impératif, réveillez-la toutes les 2-3 heures pour vérifier sa capacité à répondre normalement. L'idéal reste de ne pas laisser la personne seule durant cette période critique.

Si une surveillance constante s'avère impossible, maintenez un contact régulier par téléphone. Appelez toutes les 2-3 heures pour vous assurer que la personne répond normalement, qu'elle ne présente pas de nouveaux symptômes et qu'elle reste orientée dans le temps et l'espace. Cette vigilance peut littéralement sauver des vies en permettant une intervention rapide si l'état se dégrade.

Quand consulter un médecin ou appeler les secours d'urgence ?

Certaines situations nécessitent une intervention médicale immédiate sans attendre l'évolution des symptômes. La rapidité de la prise en charge influence directement le pronostic du traumatisme crânien.

L'appel d'urgence au 15 (SAMU) ou 112 doit être immédiat dans plusieurs circonstances. En cas de perte de connaissance, même brève, ne tentez pas d'évaluer la gravité par vous-même. De même, si la personne présente des vomissements répétés, une confusion importante ou des troubles de l'élocution, ces signes indiquent une possible complication neurologique nécessitant une prise en charge spécialisée urgente.

Les symptômes évolutifs constituent également des motifs d'urgence. Si l'état de la personne se dégrade progressivement, si elle devient de plus en plus somnolente ou présente des maux de tête qui s'intensifient malgré les antalgiques, une consultation immédiate s'impose. L'apparition de troubles visuels, d'une faiblesse d'un côté du corps ou de convulsions représente des urgences neurologiques absolues.

Même en l'absence de symptômes alarmants, une consultation médicale dans les 24 heures reste recommandée pour toute personne âgée ayant subi un choc à la tête. Cette précaution permet d'obtenir un avis médical professionnel, d'évaluer la nécessité d'examens complémentaires comme un scanner cérébral, et de recevoir des consignes de surveillance adaptées à la situation spécifique de chaque patient.

Quelles sont les complications possibles d'un choc à la tête chez le senior ?

Les complications des traumatismes crâniens chez les personnes âgées présentent des spécificités liées aux modifications physiologiques du vieillissement. La compréhension de ces risques permet une meilleure anticipation et prise en charge.

L'hématome sous-dural représente la complication la plus fréquente et la plus redoutable chez les seniors. Cette accumulation de sang entre le cerveau et la dure-mère peut se développer lentement, sur plusieurs jours ou semaines. Chez les personnes âgées, même un choc mineur peut provoquer cette lésion en raison de la fragilité accrue des vaisseaux sanguins et de l'atrophie cérébrale naturelle qui crée un espace plus important dans la boîte crânienne. Les symptômes peuvent inclure des maux de tête persistants, une somnolence progressive, des troubles de la mémoire ou des changements de comportement.

La commotion cérébrale chez les seniors présente des particularités par rapport aux adultes plus jeunes. Elle se manifeste par un dysfonctionnement temporaire des cellules cérébrales après la secousse provoquée par l'impact. Les symptômes peuvent persister plus longtemps chez les personnes âgées et inclure des troubles de l'équilibre, des difficultés de concentration, des troubles du sommeil et des changements d'humeur. Cette récupération plus lente s'explique par la capacité réduite du cerveau âgé à se réparer.

Les fractures du crâne, bien que moins fréquentes, constituent également une préoccupation majeure. Elles peuvent être associées à des lésions cérébrales sous-jacentes et nécessitent une prise en charge neurochirurgicale. Chez les personnes âgées sous anticoagulants, le risque hémorragique est majoré, pouvant transformer un traumatisme initialement modéré en situation potentiellement mortelle. Cette particularité nécessite une surveillance renforcée et souvent une hospitalisation préventive.

Comment prévenir les chutes et les traumatismes crâniens chez les personnes âgées ?

La prévention des chutes constitue la stratégie la plus efficace pour éviter les traumatismes crâniens chez les seniors. Cette approche multifactorielle doit intégrer l'aménagement de l'environnement, le maintien des capacités physiques et la surveillance médicale.

L'aménagement du domicile représente le premier pilier de la prévention. Éliminez tous les obstacles susceptibles de provoquer des chutes : fixez solidement les tapis, rangez les câbles électriques, installez un éclairage suffisant dans tous les espaces de circulation. Dans la salle de bain, zone particulièrement à risque, équipez les surfaces de revêtements antidérapants et installez des barres d'appui près de la baignoire, de la douche et des toilettes. Les escaliers doivent être munis de rampes des deux côtés et d'un éclairage automatique.

Le maintien des capacités physiques à travers une activité régulière constitue un élément clé de la prévention. La pratique d'exercices adaptés comme la marche, la gym douce, le tai-chi ou le yoga senior améliore l'équilibre, renforce la musculature et préserve la coordination. Ces activités permettent de conserver les réflexes de protection qui peuvent limiter la gravité des chutes. Les séances de kinésithérapie peuvent être particulièrement bénéfiques pour les personnes présentant des troubles de l'équilibre.

La surveillance médicale régulière permet d'identifier et de traiter les facteurs de risque. Le contrôle de la tension artérielle évite les malaises liés à l'hypotension orthostatique, fréquente chez les seniors. La révision régulière des traitements médicamenteux permet d'éliminer les molécules pouvant altérer l'équilibre ou la vigilance. Les examens ophtalmologiques et auditifs réguliers maintiennent les capacités sensorielles indispensables à une mobilité sécurisée.

En quoi la téléassistance peut-elle aider en cas de chute avec choc à la tête ?

La téléassistance représente un maillon essentiel de la chaîne de sécurité pour les personnes âgées vivant à domicile. En cas de chute avec traumatisme crânien, cette technologie peut faire la différence entre une prise en charge rapide et des complications graves.

Les systèmes de détection automatique de chute constituent une innovation majeure pour les seniors. Ces dispositifs, intégrés dans des bracelets ou pendentifs, analysent en permanence les mouvements de la personne. En cas de chute brutale suivie d'une immobilité prolongée, l'alerte est automatiquement transmise à la plateforme d'assistance sans nécessiter d'action de la part de l'utilisateur. Cette fonctionnalité s'avère particulièrement précieuse lors d'un traumatisme crânien où la personne peut être désorientée ou inconsciente.

La réactivité de la plateforme d'assistance Europ Assistance La Téléassistance garantit une intervention rapide 24h/24. Dès réception de l'alerte, les téléassistants établissent immédiatement le contact avec la personne pour évaluer sa situation. En cas de non-réponse ou de signes inquiétants, les secours sont déclenchés sans délai. Cette rapidité d'intervention est cruciale dans les traumatismes crâniens où chaque minute compte pour limiter les complications.

L'aspect préventif de la téléassistance ne doit pas être négligé. Le simple fait de porter un dispositif d'alerte rassure les seniors et leur permet de maintenir leurs activités quotidiennes sans anxiété excessive. Cette confiance préservée contribue à maintenir une mobilité régulière, facteur important de préservation de l’autonomie et de la santé globale. En favorisant les déplacements quotidiens, la téléassistance réduit le risque de déconditionnement physique, soutient l’équilibre et la force musculaire, et participe indirectement à la prévention des chutes futures. Elle devient ainsi un véritable levier de maintien à domicile dans de bonnes conditions de sécurité et de bien-être.

Teleassistance mobile avec gps
Géoveille
La téléassistance mobile
LE GÉOVEILLE®

Découvrez le Géoveille, le bipper de téléassistance mobile GPS avec détecteur de chute qui vous protège en intérieur comme en extérieur.

A partir de 33,90€ /mois
soit 16,95€/mois après crédit d'impôt

Service domicile
Service domicile icon
La téléassistance à domicile
LE DOMVEIL PLUS®

Découvrez le Domveil Plus, le boîtier haut-parleur à domicile avec son bouton d’appel ou son détecteur de chute, pour vivre chez vous librement et sans risque.

A partir de 25,90€ /mois
soit 12,95€/mois après crédit d'impôt

Nos articles associés
Dénutrition: 2M personnes touchées en France
Santé

Dénutrition chez la personne âgée : 2 millions de seniors concernés en France

automedication personne agee
Santé

Les risques de l'automédication chez les personnes âgées

Stimulation cognitive seniors
Santé

Stimulation cognitive de la personne âgée : définition et exercices

Nos articles associés
Un programme pour étudier les muscles des seniors
Santé
04 Octobre 2016
Un programme pour étudier les muscles des seniors

  La fonte de la masse musculaire commence à partir de 50 ans. Pratiquer des exercices physi...

Sommeil: quels changements quand on prend de l'âge ?
Santé
07 Août 2018
Sommeil: quels changements quand on prend de l'âge ?

Quand on prend de l’âge, trouver le sommeil devient parfois compliqué. Un somnifère avant le coucher...

Santé : quels changements en 2017 ?
Santé
16 Janvier 2017
Santé : quels changements en 2017 ?

En 2017, certains changements importants vont être mis en place, dont la majorité vont concerner l'e...

Retrouvez-nous sur facebook
redirect 410
Off